CONCEPT

歯並びを整えて
楽しく 幸せな 毎日を

子供から大人まで、
何歳からだって始められる。
矯正には「見た目」以上の
価値があります。

歯並び・噛み合わせで
気になること。
小さなことでも、
気軽にご相談ください。

矯正歯科担当医 沖田 直也

  • 「さくら夙川駅」 徒歩すぐ!
    おきた歯科は、JRさくら夙川駅の改札を出てすぐ!矯正相談を随時受け付けております。気軽にお越しください。
  • 歯学博士
    大学院にて歯科学に関する専攻分野を修め、博士号を取得しています。
  • 日本矯正歯科学会
    全国の歯科医師10万人に対し、3%しか認められていない国が認めた学会の正式な資格です。

詳しい経歴

経歴

・大阪歯科大学卒業

・大阪歯科大学附属病院において臨床研修歯科医として勤務(口腔外科第一講座)

・大阪歯科大学大学院にて歯科矯正学専攻

・大阪歯科大学大学院修了 博士(歯学)取得

・大阪歯科大学附属病院において病院医員として勤務(歯科矯正学講座)

・日本再生医療学会 再生医療認定医取得

・大阪歯科大学附属病院 非常勤講師(歯科矯正学講座)

・厚生労働省認定 臨床研修指導医取得(東京医科歯科大学)

・日本矯正歯科学会 認定医取得

所属(学会・スタディグループ)

・LAS(LEVEL ANCHORAGE SYSTEM)ソサエティ

・USC(南カリフォルニア大学)歯学部Prof. Sameshima course 修了

・Tweed Foundation Orthodontic course 修了(米国・アリゾナ州)

・McLaughlin Orthodontic Seminar Course 修了(米国・カルフォルニア州)

・Fillion Lingual Orthodontic Seminar Course 修了

研究論文

・2013:Materials Science & Engineering Cに論文掲載

・2014:Oral Tissue Engineeringに論文掲載

・2015:Tissue Engineering Part Aに論文掲載

学会発表

・2013年 8月 第11回日本再生歯科医学会

・2013年10月 第72回日本矯正歯科学会

・2014年 6月 第90回ヨーロッパ矯正歯科学会

・2014年10月 第73回日本矯正歯科学会

・2014年12月 第546回大阪歯科学会

おきた歯科が
大切にしていること

  • 未来のあなたが、
    健康で美しく過ごせるように
    噛み合わせの悪さをそのままにすることで、虫歯や歯周病、口臭が強くなる、発音しにくい、顎関節症や顔のゆがみ、頭痛や肩こりなどの原因となることがあります。いまからしっかり歯並びを治すことで、未来の健康リスクを抑えましょう。
  • 治療計画に基づいた
    納得のいくご提案
    患者様の歯並びにあわせて矯正プランをご提案。様々な不安をしっかりお聞きした上で、納得がいく治療計画を立案させていただきます。
  • 専門の医師による連携治療で
    理想のゴールを
    検査〜治療計画の段階から矯正に関わる各専門の医師が連携し、共通のゴールに向けて共有・ディスカッション。院内ですべての治療を完結させることで、患者様にとって無駄なく適切な矯正治療をめざします。

矯正歯科治療に伴う一般的なリスクや副作用について

  • 矯正歯科装置装着後に違和感、不快感、痛みなどが生じることがあります。
    一般的には数日間~1、2 週間で慣れてきます。
  • 歯の動き方には個人差があります。そのため予想された治療期間が延長する可能性があります。
  • 矯正歯科装置の使用状況、顎間ゴムの使用状況、定期的な通院など、矯正歯科治療には患者さんの協力が必要であり、それらが治療結果や治療期間に影響します。
  • 治療中は矯正歯科装置が歯の表面に付いているため食物が溜りやすく、また歯が磨きにくくなるため、むし歯や歯周病が生じるリスクが高まります。 したがってハミガキを適切に行い、お口の中を常に清潔に保ち、さらにかかりつけ歯科医に定期的に受診することが大切です。 また、歯が動くと隠れていたむし歯が見えるようになることもあります。
  • 歯を動かすことにより歯根が吸収して短くなることや歯肉がやせて下がることがあります。
  • ごくまれに歯が骨と癒着していて歯が動かないことがあります。
  • ごくまれに歯を動かすことで神経が障害を受けて壊死することがあります。
  • 矯正歯科装置などにより金属等のアレルギー症状が出ることがあります。
  • 治療中に顎関節の痛み、音が鳴る、口が開けにくいなどの顎関節症状が生じることがあります。
  • 治療の経過によっては当初予定していた治療計画を変更する可能性があります。
  • 歯の形の修正や咬み合わせの微調整を行ったりする可能性があります。
  • 矯正歯科装置を誤飲する可能性があります。
  • 矯正歯科装置を外す際にエナメル質に微小な亀裂が入る可能性や、かぶせ物(補綴物)の一部が破損する可能性があります。
  • 動的治療が終了し装置が外れた後に、現在の咬み合わせに合った状態のかぶせ物(補綴物)やむし歯の治療(修復物)などをやりなおす必要性が生じる可能性があります。
  • 動的治療が終了し装置が外れた後に保定装置を指示通り使用しないと、歯並びや咬み合せの「後戻り」が生じる可能性があります。
  • あごの成長発育により咬み合せや歯並びが変化する可能性があります。
  • 治療後に親知らずの影響で歯並びや咬み合せに変化が生じる可能性があります。 また、加齢や歯周病などにより歯並びや咬み合せが変化することがあります。
  • 矯正歯科治療は一度始めると元の状態に戻すことは難しくなります。

子供矯正

お子さまの素敵な未来のために
5才から始める予防矯正

子供の矯正っていつからはじめるべき?

DOCTOR

はじめた方が良いかもは矯正チャンス!
歯の生え変わりの時期成長タイミング
お子さまの矯正方法は
異なるんです!

子供の矯正って
どんなことするの?

  1. その1 予防矯正 【0期治療:5才〜】
    お子さまが受け口気味で気にされている親御さま。受け口の対策を行うのは5歳前後が目安となります。永久歯が生え始める前の乳歯列期に受け口を矯正しておくことが大切だからです。矯正が必要かどうかも含めてアドバイスして参ります。
  2. その2 早期治療 【1期治療:8〜11才】
    人間の口腔内環境の土台のほとんどが10歳までで決まってしまうことも分かってきており、8歳からの歯列矯正の重要性は年々高まってきています。今の歯並びだけでなく、お子さまの将来的な成長を見越した矯正に力を入れています。
  3. その3 大人の本格治療 【2期治療:12才〜】
    12才前後になると永久歯が生えそろうため、大人と同様の治療内容となります。思春期を迎えた中高生の時期は自分の歯並びが気になり出すタイミング。今は目立ちにくいマウスピース矯正等方法も様々です。お気軽にご相談ください。

POINT

子供のうちに
早めに矯正をするメリット

子供の場合、美しい歯並び、正しい噛み合わせになるように早い時期から成長発育を見守ることが大切です。 小さいころから矯正を始めると、顎の成長をうまくコントロールすることが可能になり、 キレイに仕上がる、抜歯する可能性が低くなるなどのメリットがあります。

保護者の
方へ

矯正について
心配ごとは
ありませんか?

  • この子の歯並び、大丈夫かな?
  • 矯正中の痛みってどのくらい?
  • どのくらいの期間矯正するの?
  • 費用はどのくらい?保険は?

下記歯並びに当てはまる方は
矯正治療をおすすめします

  • 出っ歯

  • すきっ歯

  • 受け口

  • 開咬

  • 叢生

PLAN

矯正の種類

  • マウスピース矯正

    一人ひとりの歯に合わせたマウスピースを装着し歯並びを整えていく方法です。

    • 透明なので口元が目立ちにくい
    • 着脱式なので、普段通り食事・歯磨き可能
    • ワイヤー矯正に比べて痛みが少ない
  • ワイヤー矯正(表)

    ブラケット装置を歯に接着しワイヤーの力で治療する伝統ある正方法です。

    • 適応範囲が広いので多くの症例に対応可能
    • 費用を安く抑えることができます
    • 着脱の煩わしさがありません
当院で取り扱う小児矯正装置
  • 可撤式矯正装置
    第1期治療では主にご自身で取り外しが可能な矯正装置を用いて、成長途中にあるお子様の顎の骨を正しい位置に導き、噛み合わせや歯列の乱れなどを改善します。基本的には健康な歯を抜く必要がなく、装置も取り外すことができるので、ブラッシングや食事も快適に行うことができます。
  • 歯列矯正用咬合誘導装置(ムーシールド)
    低年齢児の受け口の治療に使用します。就寝中と日中1~2時間程度装着することで、お口まわりの筋肉の機能を改善させ、鼻呼吸を促進し、歯や顎の骨の成長を正しい位置に導きます。
  • 歯列矯正用咬合誘導装置(プレオルソ)
    混合歯列期に使用する装置です。就寝中と日中1~2時間程度装着することで、お口まわりの筋肉の機能を改善させ、鼻呼吸を促進し、歯や顎の骨の成長を正しい位置に導きます。
  • マウスピース型矯正装置(インビザラインファースト)
    混合歯列期に使用する装置です。透明なマウスピースを使用することで、普段の生活でも目立たず矯正のモチベーションを保ちながらお子さまにも安心して使用いただけます。

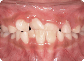
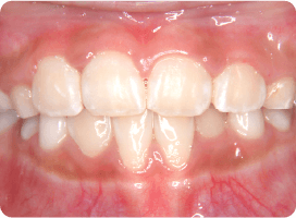
CASE

実際の治療内容

症例・使用装置:

受け口、反対咬合、叢生があり、
拡大装置とワイヤー矯正をしました。

年齢・性別:8才・女子
治療期間:2年
治療費:約40万円
リスクと副作用

* 治療の初期段階では矯正装置による不快感、痛み等が生じやすくなります。

* 歯の動き方には個人差があります。そのため、予想された治療期間が延長する可能性があります。

* 装置の使用状況や定期的な通院など、矯正治療には患者さんの協力が非常に重要であり、それらが治療結果や治療期間に影響します。

* 治療中は、むし歯や歯周病のリスクが高まりますので、丁寧に磨いたり、定期的なメンテナンスを受けたりすることが重要です。 また、歯が動くと隠れていたむし歯が見えるようになることもあります。

* 歯を動かすことにより歯根が吸収して短くなることがあります。また、歯ぐきがやせて下がることがあります。

* ごくまれに歯が骨と癒着していて歯が動かないことがあります。

* ごくまれに歯を動かすことで神経が障害を受けて壊死することがあります。

* 治療途中に金属等のアレルギー症状が出ることがあります。

* 治療中に「顎関節で音が鳴る、あごが痛い、口が開けにくい」などの顎関節症状が出ることがあります。

* 様々な問題により、当初予定した治療計画を変更する可能性があります。

* 歯の形を修正したり、咬み合わせの微調整を行ったりする可能性があります。

* 矯正装置を誤飲する可能性があります。

* 装置を外す時に、エナメル質に微小な亀裂が入る可能性や、かぶせ物(補綴物)の一部が破損する可能性があります。

* 装置が外れた後、保定装置を指示通り使用しないと後戻りが生じる可能性が高くなります。

* 装置が外れた後、現在の咬み合わせに合った状態のかぶせ物(補綴物)やむし歯の治療(修復物)などをやりなおす可能性があります。

* あごの成長発育によりかみ合わせや歯並びが変化する可能性があります。

* 治療後に親知らずが生えて、凸凹が生じる可能性があります。加齢や歯周病等により歯を支えている骨がやせるとかみ合わせや歯並びが変化することがあります。

FLOW

治療の進め方

  1. 01 初診・相談

    日頃気になっている事やお悩みを気軽にお話しください。かみ合わせを確認し、治療法・期間・料金のご説明をいたします。一緒に理想のゴールを見つけていきましょう。

  2. 02 精密検査

    様々な先端医療機器を用いて歯の噛み合わせ、お顔や骨格の分析のための精密検査を行います。

    • お口と顔の撮影
    • レントゲン撮影
    • 歯のデジタルスキャン
  3. 03 治療計画の
    説明&診断

    検査の結果を基に適切なプランをご提案し、治療のメリット&デメリットなどをご説明いたします。

    • 検査結果
    • 治療方針
    • 期間・料金の説明
  4. 04 治療開始通院回数:約1〜2ヶ月に1回

    様々な先端医療機器を用いて歯の噛み合わせ、お顔や骨格の分析のための精密検査を行います。

    • マウスピース矯正
    • ワイヤー矯正
    • その他矯正
  5. 05 保定&経過観察通院回数:約半年に1回

    すべて永久歯に生え代わるまで経過観察いたします。
    2期治療の場合、保定装置を最低2年間使用してもらい経過観察します。

「子供の矯正」は、
おきた歯科に
お任せください

  • ママも安心のキッズスペース
    待ち時間も楽しいひとときに!ボーネルンドプロデュースの自慢のキッズスペースです。保育士も常駐しております。ご家族で安心してお越しください。
  • 子供好きなスタッフいっぱいです
    小児歯科治療を専門とした、「日本小児歯科学会」所属の歯科衛生士が多数在籍しています。

企業のグローバル化やオンライン等を利用した国際交流を誰もが行える社会となり日本でも【将来のお子様の健康や生活】を考え子供の矯正治療を始められる方がとても増えています。お子様が将来海外で活躍したいと思った時や、これから起こる人生の中で輝かしい将来を送るためにも一番のプレゼントは子供のころから始める予防矯正ではないかと考えます。そのお手伝いこそが、私の何よりの喜びです。

CONTACT

矯正相談を随時受付中

あなたに合わせた矯正プランをご提案。
不安なこと・気になることがあればお気軽にご連絡ください

大人矯正

美しさと健康は口元から
ステキな歯並びを楽しめる

大人になってから矯正って遅いかな?

DOCTOR

矯正に年齢は関係ありません。
何歳からだって美しい歯並びをめざせます。
健康でステキな毎日を
過ごしましょう。

矯正をはじめる
きっかけって?

  1. その1 時間がある学生の時期に
    近年、学校に通いながらでも目立ちにくいマウスピース矯正の人気や、社会人になると忙しい仕事の合間で矯正治療を受けること難しくなる等の理由で、学生の内に矯正治療を始める方が増えています。
  2. その2 一生に一度の結婚式
    結婚式の日程が治療途中でも、治療器具を取り外し可能です。お急ぎであれば前歯だけ等の部分矯正もOK。一緒にホワイトニングもおすすめです。一生に一度の大切な日を、最高の笑顔で迎えるお手伝いをいたします。
  3. その3 子育てが落ち着いたご褒美
    育児がある程度落ちついたことをきっかけに、自分へのご褒美として、自分のことを見つめ直すタイミングとして、矯正に来られる方も多くおられます。もちろん子育て中でも、ライフスタイルに合わせた矯正が可能です。
  4. その4 自分磨きの投資
    歯並びを整えることをはじめ、口腔ケアは海外では当たり前の文化のひとつとなってます。海外での仕事をめざす方や憧れがある方は、歯の意識をさらに高める自己投資としての矯正治療をおすすめしています。
  5. その5 昔と違う矯正治療
    「昔矯正してたんだけど上手くいかなかった…」とお悩みの方も、ぜひ一度ご相談ください。最近は矯正の技術も進歩し、なるべく歯を抜かない矯正技術や目立ちにくい矯正方法など様々です。適切な治療プランをご提案します。
  6. その6 加齢による歯のズレ
    骨が痩せ、親知らずの影響等で、加齢により歯の位置が一部ずれることがあります。全体ではなく、ずれた箇所のみの部分矯正も年齢問わず可能です。歯に違和感を感じられたら気軽にご相談ください。

POINT

大人の矯正で、いいことたくさん

実は大人になってからできる歯列矯正はたくさんあります。歯並びが整うことで見た目の印象が変わることはもちろん、食べ物が咀嚼しやすくなったり、虫歯や歯周病になりにくい口腔内環境を作れるなど、日常の生活にも良い影響ばかりです。

矯正を
お考えの
方へ

矯正について
心配ごとは
ありませんか?

  • 噛み合わせが悪く食事が辛い
  • 昔から歯並びがコンプレックス…
  • 費用ってどれくらいかかる?
  • 矯正って一回きりで終わり?

下記歯並びに当てはまる方は矯正治療をおすすめします

  • 出っ歯

  • すきっ歯

  • 受け口

  • 開咬

  • 叢生

PLAN

矯正の種類

  • マウスピース矯正

    一人ひとりの歯に合わせたマウスピースを装着し歯並びを整えていく方法です。

    • 透明なので口元が目立ちにくい
    • 着脱式なので、普段通り食事・歯磨き可能
    • ワイヤー矯正に比べて痛みが少ない
  • ワイヤー矯正(表)

    ブラケット装置を歯に接着しワイヤーの力で治療する伝統ある正方法です。

    • 適応範囲が広いので多くの症例に対応可能
    • 費用を安く抑えることができます
    • 着脱の煩わしさがありません

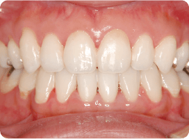
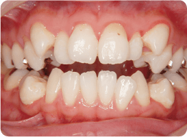
CASE

実際の治療内容

症例・使用装置:

開咬と上顎前突、
叢生があり上下小臼歯を
4本抜歯しワイヤー矯正をしました。

年齢・性別:23才・女性
治療期間:3年
治療費:約90万円
リスクと副作用

* 治療の初期段階では矯正装置による不快感、痛み等が生じやすくなります。

* 歯の動き方には個人差があります。そのため、予想された治療期間が延長する可能性があります。

* 装置の使用状況や定期的な通院など、矯正治療には患者さんの協力が非常に重要であり、それらが治療結果や治療期間に影響します。

* 治療中は、むし歯や歯周病のリスクが高まりますので、丁寧に磨いたり、定期的なメンテナンスを受けたりすることが重要です。 また、歯が動くと隠れていたむし歯が見えるようになることもあります。

* 歯を動かすことにより歯根が吸収して短くなることがあります。また、歯ぐきがやせて下がることがあります。

* ごくまれに歯が骨と癒着していて歯が動かないことがあります。

* ごくまれに歯を動かすことで神経が障害を受けて壊死することがあります。

* 治療途中に金属等のアレルギー症状が出ることがあります。

* 治療中に「顎関節で音が鳴る、あごが痛い、口が開けにくい」などの顎関節症状が出ることがあります。

* 様々な問題により、当初予定した治療計画を変更する可能性があります。

* 歯の形を修正したり、咬み合わせの微調整を行ったりする可能性があります。

* 装置を外す時に、エナメル質に微小な亀裂が入る可能性や、かぶせ物(補綴物)の一部が破損する可能性があります。

* 装置が外れた後、保定装置を指示通り使用しないと後戻りや変化が生じる可能性が高くなります。

* 装置が外れた後、現在の咬み合わせに合った状態のかぶせ物(補綴物)やむし歯の治療(修復物)などをやりなおす可能性があります。

* あごの成長発育によりかみ合わせや歯並びが変化する可能性があります。

* 治療後に親知らずが生えて、凸凹が生じる可能性があります。加齢や歯周病等により歯を支えている骨がやせるとかみ合わせや歯並びが変化することがあります。

FLOW

治療の進め方

  1. 01 初診・相談

    日頃気になっている事やお悩みを気軽にお話しください。かみ合わせを確認し、治療法・期間・料金のご説明をいたします。一緒に理想のゴールを見つけていきましょう。

  2. 02 精密検査

    様々な先端医療機器を用いて歯の噛み合わせ、お顔や骨格の分析のための精密検査を行います。

    • お口と顔の撮影
    • レントゲン撮影
    • 歯のデジタルスキャン
  3. 03 治療計画の
    説明&診断

    検査の結果を基に適切なプランをご提案し、治療のメリット&デメリットなどをご説明いたします。

    • 検査結果
    • 治療方針
    • 期間・料金の説明
  4. 04 治療開始通院回数:約1〜2ヶ月に1回

    様々な先端医療機器を用いて歯の噛み合わせ、お顔や骨格の分析のための精密検査を行います。

    • マウスピース矯正
    • ワイヤー矯正
    • その他矯正
  5. 05 保定&経過観察通院回数:約半年に1回

    後戻りや変化を防ぐため、歯の位置を保定し、経過観察をおこないます。

「大人の矯正」は、
おきた歯科に
お任せください

  • いつでもだれでもきれいな歯並び
    歯周病のメンテナンスをしながらでも矯正治療が可能です。年齢についても子供から大人まで幅広い年齢層の治療実績があるので安心してお越しください。
  • 「見た目だけ」ではなく
    歯のことを最優先
    前歯だけの部分矯正も可能ですが、部分矯正ですと見た目だけが治り、上と下の歯が緊密にかみ合わない可能性があるので、おきた歯科では歯の全体矯正をおすすめしています。

「歯は人生を大きく変えてしまう力がある」私が矯正歯科医としていつも感じていることです。笑う、食べる、話す。すべての幸せを歯が支えてくれているからです。あなたの今と明るい未来のために、歯並びを整えることからはじめてみませんか。

CONTACT

矯正相談を随時受付中

あなたに合わせた矯正プランをご提案。
不安なこと・気になることがあればお気軽にご連絡ください